早孕B超检查?常州红房子妇产医院指出,虽然女性怀孕以后身体会有一些变化,但是有时候有些女性朋友并不会有什么感觉,且会判断失误。B超诊断早孕怎么样?
【医生解读】早孕检测方式
【1】早孕试纸检测
[早孕结果]:同房后12天左右(检测简单方便,但存在误差,无法判断是否为宫外孕)

【2】血HCG诊断早期妊娠
[早孕结果]:同房后7-10天即可检查是否怀孕(医院实验室检测,较早确诊)
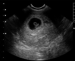
【3】B超检查
[早孕结果]:同房后20天左右(医院检查,可信度高,可判断是否为宫外孕)

红房子指出,B超检查也能确定是宫外孕还是宫内妊娠,胚胎是否存活,这个是其他检查无法比拟的优点。

确诊怀孕以后,是流是留——我们都是您的理想选择
如果选择流——红房子为您护航
常州红房子人流,使受术者能够在短时间内进入甜蜜睡眠,不知不觉地完成手术,减轻了患者手术时的痛苦和心理上的紧张恐惧。
如果选择留——红房子为您呵护
常州红房子拥有多种分娩方式;更有四维彩超、NT、唐氏筛查等多种产检方式。
常州红房子妇产医院是常州市母婴保健技术服务单位,现在可以通过常州红房子妇产医院的网络在线平台预约就诊。
热门症状咨询